운동을 하거나 걷는 양이 늘어난 뒤, 특정 부위가 계속 아픈데도 “근육통이겠지” 하고 넘기는 경우가 많습니다. 하지만 통증이 며칠이 지나도 사라지지 않고, 움직일 때마다 같은 지점이 반복해서 아프다면 단순 근육통이 아닐 수도 있습니다. 이럴 때 의심해볼 수 있는 것이 바로 피로 골절입니다. 피로 골절은 한 번의 큰 충격으로 뼈가 부러지는 것이 아니라, 반복된 사용과 충격이 쌓이면서 뼈에 미세한 금이 생기는 상태를 말합니다. 초기에 알아차리면 회복이 비교적 빠르지만, 참고 계속 움직이면 치료 기간이 길어질 수 있습니다.
피로 골절 증상은 이렇게 시작됩니다
피로 골절의 가장 큰 특징은 통증이 갑자기 심하게 시작되지 않는다는 점입니다. 처음에는 살짝 뻐근하거나 찌릿한 느낌으로 시작해, 시간이 지나면서 점점 분명해집니다.
• 걷거나 운동할 때 통증이 나타나고, 쉬면 조금 완화됨
• 통증 부위가 넓지 않고, 특정 한 지점이 유난히 아픔
• 손으로 눌렀을 때 뼈 쪽에서 직접적인 통증이 느껴짐
• 같은 동작을 반복하면 통증이 다시 나타남
• 심해지면 일상적인 보행에서도 통증이 지속됨
일반적인 근육통은 범위가 넓고 눌렀을 때 근육이 아픈 느낌이 많은 반면, 피로 골절은 뼈를 따라 한 점이 콕 집어 아픈 경우가 많습니다. 이 차이가 중요한 단서가 됩니다.



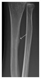
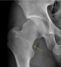
피로 골절이 자주 생기는 부위
피로 골절은 반복적으로 체중이 실리는 부위에서 흔히 발생합니다. 특히 아래 부위는 비교적 자주 언급됩니다.
• 발등과 발바닥 앞쪽
• 정강이 뼈 주변
• 발목과 뒤꿈치 근처
• 장시간 서 있거나 걷는 경우 무릎 아래 부위
러닝이나 등산을 갑자기 시작했거나, 평소보다 활동량이 급격히 늘어난 경우, 또는 딱딱한 바닥에서 오래 서 있는 생활이 이어졌다면 위험이 커질 수 있습니다.
집에서 할 수 있는 초기 대응
피로 골절이 의심될 때 가장 중요한 것은 “참는 것”이 아니라 사용을 줄이는 것입니다. 통증을 유발하는 활동을 계속하면 뼈에 가해지는 부담이 더 커집니다.
• 달리기, 점프, 장시간 걷기 등 통증을 유발하는 활동 중단
• 하루 중 가능한 한 체중 부하 줄이기
• 통증 부위에 짧은 시간 냉찜질로 통증 완화
• 통증이 가라앉았다고 바로 활동량을 늘리지 않기
테이핑이나 보호대만으로 버티는 것은 일시적인 도움은 될 수 있지만, 근본적인 해결책은 아닙니다. 특히 통증이 반복된다면 반드시 휴식이 우선입니다.



이런 경우에는 병원 확인이 필요합니다
아래와 같은 상황이라면 단순 통증으로 넘기지 말고 진료를 통해 확인하는 것이 안전합니다.
• 특정 뼈를 누르면 찌르는 듯한 통증이 분명함
• 충분히 쉬어도 통증이 줄지 않음
• 붓기가 함께 나타남
• 걷는 자세가 달라질 정도로 통증이 있음
• 같은 부위 통증이 반복적으로 재발함
피로 골절은 초기에 발견하지 못하면 회복 기간이 길어질 수 있습니다. 오히려 빨리 확인하고 쉬는 것이 결과적으로는 더 빠른 회복으로 이어지는 경우가 많습니다.
한눈에 보는 요약표
| 구분 | 특징 | 대처 |
|---|---|---|
| 초기 | 활동 시 통증, 휴식 시 완화 | 활동 줄이고 휴식 |
| 진행 | 국소 통증, 압통, 붓기 | 냉찜질, 체중 부하 제한 |
| 의심 | 휴식해도 지속되는 통증 | 진료로 확인 |
![]() |
![]() |
![]() |
![]() |
![]() |
![]() |
자주하는 질문
Q. 근육통과 피로 골절은 어떻게 구분하나요?
A. 근육통은 넓게 뻐근한 경우가 많고, 피로 골절은 특정 뼈 한 지점이 유난히 아픈 경우가 많습니다.
Q. 쉬면 괜찮아지는데 계속 운동해도 될까요?
A. 쉬면 좋아졌다가 다시 아프면 피로 골절 가능성이 있습니다. 무리하면 악화될 수 있습니다.
Q. 얼음찜질이 도움이 되나요?
A. 통증과 붓기 완화에는 도움이 될 수 있습니다. 다만 근본 해결은 휴식입니다.
Q. 피로 골절은 자연적으로 낫나요?
A. 충분한 휴식이 주어지면 회복될 수 있지만, 계속 사용하면 상태가 나빠질 수 있습니다.
Q. 통증이 약해졌는데 바로 운동해도 될까요?
A. 통증이 사라진 뒤에도 점진적으로 활동량을 늘리는 것이 중요합니다.
마무리
피로 골절은 “크게 다치지 않았으니 괜찮겠지” 하고 넘기기 쉬운 손상입니다. 하지만 몸은 이미 쉬어야 한다는 신호를 보내고 있는 상태일 수 있습니다. 통증이 반복된다면 잠시 멈추는 용기가 오히려 회복을 앞당깁니다. 운동을 오래, 건강하게 이어가고 싶다면 통증을 무시하기보다 귀 기울이는 습관이 필요합니다. 작은 신호를 초기에 알아차리는 것이 가장 현실적인 예방법입니다.
![]() |
![]() |
![]() |
![]() |
![]() |
![]() |
'건강100세' 카테고리의 다른 글
| adhd 증후군 이란 성인에게도 나타나는 특징과 일상 (0) | 2026.02.01 |
|---|---|
| 이명 치료 방법, 원인을 알고 생활 속에서 줄이는 방법 (0) | 2026.02.01 |
| 대추차 효능 부작용 달콤함에 숨겨진 위험 (0) | 2026.01.31 |
| 마그네슘 부족현상 정리, 눈 떨림과 다리 쥐의 원인 (0) | 2026.01.30 |
| 파킨슨병 초기증상 손떨림 말고도 나타나는 신호들 (0) | 2026.01.29 |











