“폐에 물이 찼다”는 말을 들으면 대부분 같은 그림을 떠올리지만, 실제로는 두 가지가 섞여 불리는 경우가 많습니다. 하나는 폐 안(폐포)에 물이 스며드는 폐부종, 다른 하나는 폐 바깥(흉막 사이)에 물이 고이는 흉수(흉막삼출)예요. 둘 다 숨이 차지만, 동반 증상과 위험 신호가 조금 다릅니다. 오늘은 “폐에 물이 차는 증상”을 최대한 쉽게, 실제로 느끼는 증상 중심으로 정리해드릴게요.
폐에 물이 찼을 때 가장 흔한 증상 5가지
- 숨이 차다(호흡곤란) : 계단이나 빠른 걸음에서 시작해, 심하면 가만히 있어도 숨이 찹니다.
- 누우면 더 숨이 차다 : 눕자마자 답답해져 베개를 높이거나 앉아서 숨 쉬게 되는 경우가 있습니다.
- 기침이 늘거나 가래가 생기다 : 마른기침으로 시작하기도 하고, 상태가 심하면 거품 섞인 가래가 나올 수 있습니다.
- 가슴이 답답하거나 흉통 : 조이는 느낌, 답답함, 또는 숨 쉴 때 쿡 찌르는 통증이 동반될 수 있어요.
- 피곤함·어지러움·식은땀 : 산소가 부족해지면 몸이 급격히 지치고 불안감이 커질 수 있습니다.


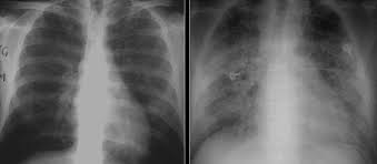
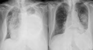
폐부종(폐 안에 물)일 때 특징적인 신호
폐부종은 말 그대로 폐포 쪽으로 물이 스며들어 산소 교환이 어려워지는 상태라, 증상이 갑자기 세게 올 수 있습니다. 특히 아래 느낌이 있으면 “그냥 감기인가?”로 넘기기 어렵습니다.
- 갑작스러운 숨참 : 평소 괜찮다가 갑자기 숨이 막히는 느낌
- 누우면 더 악화 : 밤에 자다가 숨이 차서 깨거나, 앉아야 숨이 쉬어짐
- 거품 섞인 가래 : 심하면 분홍빛/혈액이 섞여 보이는 가래가 나기도 함
- 쌕쌕거림 : 천식처럼 들리기도 해서 헷갈릴 수 있음
- 입술·손끝이 파래짐(청색증) : 산소 부족 신호
폐부종은 심장 문제(심부전 등)와 함께 오는 경우가 흔해, 갑작스러운 호흡곤란에 가슴 답답함, 식은땀, 심장이 두근거림이 같이 오면 더 주의가 필요합니다.



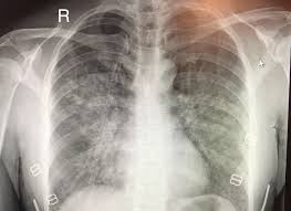
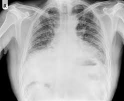
흉수(폐 바깥에 물)일 때 흔한 느낌
흉수는 폐 바깥쪽 공간에 물이 차서 폐가 눌리는 형태라, 보통은 서서히 숨이 차는 쪽이 많습니다. 초기엔 “체력이 떨어졌나?” 정도로 시작했다가 점점 불편해지기도 해요.
- 숨참이 점점 심해짐 : 특히 움직일 때 먼저 느껴짐
- 마른기침 : 계속 마른기침이 이어질 수 있음
- 한쪽 가슴 통증 : 숨 들이마실 때 아프거나, 옆구리 쪽이 찌르는 느낌
흉수는 원인(폐렴, 심장질환, 간·신장 질환, 다른 염증/종양 등)에 따라 동반 증상이 달라질 수 있어 “숨참 + 열” 또는 “숨참 + 체중감소”처럼 같이 나타나는 신호를 같이 보는 게 중요합니다.
![]() |
![]() |
![]() |
![]() |
![]() |
![]() |
바로 진료(응급 포함)가 필요한 위험 신호
아래 증상은 “오늘은 좀 쉬면 괜찮겠지”로 버티기보다, 즉시 평가가 필요한 경우가 많습니다.
- 숨이 갑자기 심하게 차서 말을 잇기 어렵다
- 거품 가래가 나오거나 피가 섞여 나온다
- 가슴 통증이 강하거나 식은땀·실신 느낌
- 입술/손끝이 파래지거나 의식이 멍해짐
- 고열·오한, 옆구리 통증이 함께 나타남
한눈에 보는 요약표
| 구분 | 주로 느끼는 증상 | 체크 포인트 |
|---|---|---|
| 폐부종(폐 안) | 갑작스런 숨참, 누우면 악화, 거품 가래 | 야간 호흡곤란, 청색증, 흉통/식은땀 동반 |
| 흉수(폐 바깥) | 서서히 심해지는 숨참, 마른기침, 한쪽 흉통 | 발열·체중감소 등 원인 관련 증상 확인 |
| 즉시 진료 신호 | 말하기 어려울 정도의 호흡곤란 | 거품/피 섞인 가래, 청색증, 의식저하 |
![]() |
![]() |
![]() |
![]() |
![]() |
![]() |
자주하는 질문(FAQ)
Q1. “폐에 물이 찼다”는 말은 폐부종이랑 흉수 중 뭐예요?
A. 두 표현이 섞여 쓰이는 경우가 많습니다. 폐 안에 물이 스며드는 건 폐부종, 폐 바깥 흉막 공간에 물이 고이는 건 흉수라고 이해하시면 쉬워요.
Q2. 누우면 숨이 더 찬 건 왜 그런가요?
A. 누우면 혈액과 체액 분포가 바뀌면서 폐가 더 답답해지는 경우가 있어요. 특히 폐부종에서 “눕기 힘든 숨참”이 특징적으로 언급됩니다.
Q3. 기침 가래가 거품처럼 나오면 위험한가요?
A. 거품 가래(특히 분홍빛/피 섞임)는 폐부종 같은 응급 상황에서 언급되는 증상 중 하나라, 동반 호흡곤란이 있으면 즉시 진료를 권합니다.
Q4. 숨이 찬데 열도 같이 나요. 감기일까요?
A. 감기도 가능하지만, 열·오한과 함께 숨참이 심해지면 폐렴/감염성 문제나 흉수 원인 등도 함께 고려해야 합니다. 증상이 빠르게 악화되면 빨리 확인하는 편이 안전합니다.
Q5. 어느 과로 가야 하나요?
A. 숨이 심하게 차거나 응급 신호가 있으면 응급실이 우선이고, 그 외에는 내과(호흡기/순환기)에서 평가를 시작하는 경우가 많습니다. 필요 시 흉부 X-ray, CT, 심장 검사 등을 통해 원인을 확인합니다.
![]() |
![]() |
![]() |
![]() |
![]() |
![]() |
마무리하며
“폐에 물이 찬다”는 표현은 무섭게 들리지만, 중요한 건 증상의 속도와 동반 신호입니다. 갑자기 숨이 차고 누우면 더 악화되거나, 거품 가래·청색증·심한 흉통이 있으면 지체하지 않는 게 안전합니다. 반대로 서서히 숨참이 늘고 마른기침이 이어진다면 흉수 같은 문제도 생각할 수 있으니, “그냥 체력 문제”로만 넘기지 말고 원인을 확인해보시는 걸 권합니다.
'건강100세' 카테고리의 다른 글
| 소변이 자주 마려운 증상 : 빈뇨 vs 다뇨, 병원 가야하는 기준은? (0) | 2026.03.01 |
|---|---|
| 속쓰림 원인 역류성 식도염부터 생활습관 트리거까지 (0) | 2026.03.01 |
| 발톱무좀 없애는 방법ㅣ집관리부터 병원치료까지 재발방지 꿀팁 (0) | 2026.02.18 |
| 손톱 무좀 치료법ㅣ바르(먹)는 약부터 생활치료까지 (0) | 2026.02.18 |
| 폐경기 전조증상 미리알면 덜 힘든 몸의 변화 (0) | 2026.02.12 |

















